In the fascinating realm of medical research, there have been remarkable advancements in our understanding of Meningioma, a type of brain tumor that originates in the membranes surrounding the brain and spinal cord. This article takes you on an enlightening journey through the latest breakthroughs and discoveries in Meningioma research, shedding light on new treatment options, improved diagnostic techniques, and the potential for personalized medicine. So, fasten your seatbelt and prepare to embark on a captivating exploration of the exciting strides being made in Meningioma research. Meningioma is a type of brain tumor that originates from the meninges, the protective membranes that surround the brain and spinal cord. While usually benign, meningiomas can still cause significant health issues due to their location and size. Over the years, there have been significant advancements in meningioma research, leading to a better understanding of the disease, improved diagnostic techniques, and more effective treatment modalities. In this article, we will explore these advancements and their potential impact on patients with meningiomas.

Understanding Meningioma
Before delving into the advancements in meningioma research, it is important to have a basic understanding of the disease itself. Meningiomas typically arise from the arachnoid cap cells, which are specialized cells within the meninges. These tumors are slow-growing and are usually benign, meaning they do not spread to other parts of the body. However, their growth can still cause complications, such as increased pressure on the brain and spinal cord.
Diagnostic Techniques
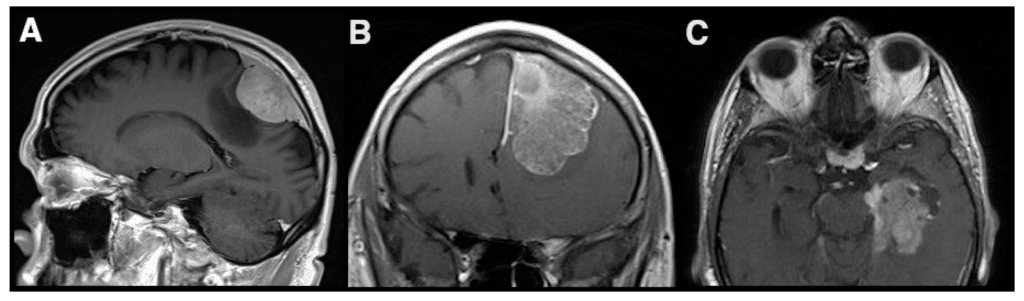
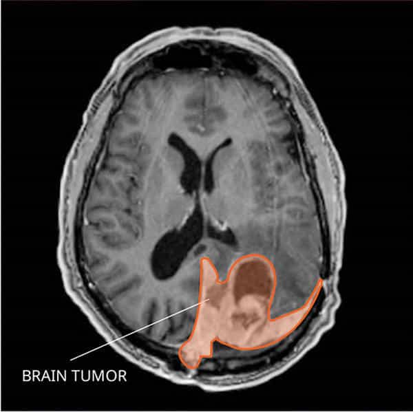
One of the key advancements in meningioma research lies in the development of diagnostic techniques. The diagnosis of meningioma usually involves a combination of imaging studies and histopathological examination. Non-invasive techniques like magnetic resonance imaging (MRI) and computed tomography (CT) scans have become invaluable tools in detecting and characterizing meningiomas. These imaging techniques allow healthcare professionals to visualize the tumor’s location, size, and surrounding structures, aiding in treatment planning.

Genomic Research
Recent advancements in genomic research have shed light on the molecular underpinnings of meningiomas. Researchers have identified specific gene mutations and chromosomal abnormalities that are frequently associated with meningioma development. For instance, mutations in the NF2 gene are commonly found in meningiomas, providing insights into the mechanisms of tumor formation. Understanding these genetic alterations is crucial for developing targeted therapies and personalized treatment approaches.
Molecular Profiling
Another exciting advancement is the utilization of molecular profiling techniques in the study of meningiomas. Molecular profiling involves analyzing the genetic makeup of a tumor to identify specific biomarkers that can guide treatment decisions. By examining the expression levels of various genes and proteins, researchers can gain a deeper understanding of the tumor’s characteristics and potential response to different therapies. This personalized approach to treatment has the potential to improve patient outcomes and minimize unnecessary interventions.

Imaging Techniques
In addition to their diagnostic capabilities, imaging techniques have also advanced in terms of treatment monitoring and surveillance of meningiomas. With the development of functional imaging modalities like positron emission tomography (PET) scans, doctors can assess the metabolic activity of meningiomas, which can serve as a marker for tumor aggressiveness. Additionally, advanced imaging techniques, such as perfusion imaging and diffusion tensor imaging, provide valuable information about blood flow and tissue organization within and around the tumor, aiding in treatment planning and assessing treatment response.
Treatment Modalities
When it comes to treating meningiomas, there is no one-size-fits-all approach. Various treatment modalities are available, including surgical intervention, radiation therapy, targeted therapies, and immunotherapy. The choice of treatment depends on several factors, including tumor size, location, and aggressiveness, as well as the patient’s overall health. Advances in each of these treatment modalities have significantly improved patient outcomes and quality of life.

Surgical Innovations
Surgery remains the primary treatment option for meningiomas, especially for tumors that are accessible and display aggressive growth patterns. Surgical techniques have evolved significantly, thanks to advancements in imaging technology and surgical instrumentation. Minimally invasive approaches, such as endoscopic and keyhole surgeries, have become increasingly prevalent, allowing for smaller incisions, reduced surgical trauma, and quicker recovery times. Moreover, the use of intraoperative neurophysiological monitoring has improved surgical precision and safety, minimizing the risk of nerve damage.
Radiation Therapy
Radiation therapy, also known as radiotherapy, plays a crucial role in the treatment of meningiomas. It involves using high-energy radiation to kill cancer cells or prevent their growth. With the development of modern radiation techniques, such as stereotactic radiosurgery and intensity-modulated radiation therapy, doctors can deliver precise doses of radiation to the tumor while sparing healthy surrounding tissues. This targeted approach reduces the side effects commonly associated with radiation therapy, resulting in improved patient tolerance and outcomes.

Targeted Therapies
Targeted therapies have emerged as a promising avenue for the treatment of meningiomas. These therapies aim to specifically target the molecular abnormalities and genetic mutations found in meningiomas, inhibiting their growth and survival. For instance, drugs that target signaling pathways involved in tumor progression, such as the PI3K/mTOR pathway, have shown promising results in preclinical studies. Although targeted therapies are still being evaluated in clinical trials, they offer hope for patients whose tumors do not respond to traditional treatment approaches.
Immunotherapy
Immunotherapy has revolutionized cancer treatment by harnessing the body’s immune system to fight against cancer cells. While still in its early stages of exploration for meningiomas, research in immunotherapy has shown promising results. By using immune checkpoint inhibitors and other immunomodulatory agents, researchers aim to enhance the immune response against meningiomas, potentially leading to improved treatment outcomes. Ongoing clinical trials are evaluating the safety and efficacy of immunotherapy in meningioma patients, bringing hope for a new and effective treatment option.
In conclusion, advancements in meningioma research have significantly improved our understanding of the disease and opened up new avenues for diagnosis and treatment. From diagnostic techniques and genomic research to surgical innovations, radiation therapy, targeted therapies, and immunotherapy, these advancements have the potential to greatly benefit patients with meningiomas. With ongoing research and clinical trials, the future looks promising in the fight against this challenging brain tumor, offering hope for improved outcomes and quality of life for individuals affected by meningioma.