Hey there! Have you ever experienced a toothache that just wouldn’t go away? Well, listen up, because we’re about to dive into a topic that could save you from a world of pain – dental abscess complications. In this article, we’ll explore the dangers and potential complications of dental abscesses, those pesky infections that can wreak havoc on your oral health. So, grab a cup of tea and get ready to learn how to keep those abscesses at bay!
Dental Abscess Complications

Overview of Dental Abscess
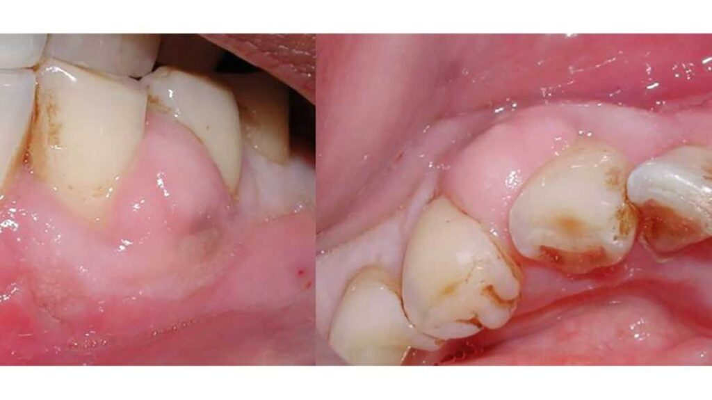
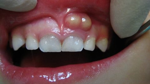
A dental abscess is a painful infection that occurs in the tooth or the surrounding tissue. It is usually caused by bacterial infection that enters through a cavity, cracked tooth, or gum disease. The infection leads to the formation of a pus-filled pocket, which can cause extreme pain and discomfort. If left untreated, a dental abscess can lead to various complications. It is important to understand and recognize these complications in order to seek timely treatment.
Types of Dental Abscess
There are two main types of dental abscesses: periapical abscess and periodontal abscess. A periapical abscess occurs at the tip of the tooth’s root, while a periodontal abscess occurs in the gums next to the tooth. Both types can lead to similar complications if not properly treated.

Complications of Dental Abscess
-
Spread of Infection
If a dental abscess is not treated promptly, the infection can spread to other areas of the body, leading to severe complications. Here are some common complications associated with the spread of infection from a dental abscess:1.1 Facial Cellulitis
Facial cellulitis is a condition characterized by a painful, red, and swollen area on the face. The infection spreads from the dental abscess to the surrounding soft tissues, causing inflammation. If left untreated, facial cellulitis can lead to serious complications such as abscess formation or tissue necrosis.1.2 Ludwig’s Angina
Ludwig’s angina is a potentially life-threatening infection that affects the floor of the mouth and the neck. It is often caused by the spread of infection from a dental abscess. Symptoms of Ludwig’s angina include difficulty swallowing, breathing problems, and swelling of the neck. This condition requires immediate medical attention.1.3 Cavernous Sinus Thrombosis
Cavernous sinus thrombosis is a rare but serious complication of a dental abscess. It occurs when the infection spreads to the cavernous sinuses, which are located behind the eyes. Symptoms include severe headache, fever, and eye swelling. Cavernous sinus thrombosis requires urgent medical intervention. -
Systemic Infections
In some cases, a dental abscess can lead to systemic infections, where the bacteria enter the bloodstream and spread throughout the body. This can result in the following complications:2.1 Bacteremia
Bacteremia refers to the presence of bacteria in the bloodstream. If the bacteria from a dental abscess enter the bloodstream, it can lead to bacteremia. While bacteremia itself may not cause symptoms, it can lead to more serious complications if left untreated.2.2 Sepsis
Sepsis is a life-threatening condition that occurs when the body’s response to an infection causes widespread inflammation. If a dental abscess leads to sepsis, it can result in organ dysfunction and failure. Symptoms of sepsis include high fever, rapid breathing, and confusion. Immediate medical attention is crucial to treat sepsis. -
Osteomyelitis
Osteomyelitis is a rare but serious complication of a dental abscess. It occurs when the infection spreads to the bones, causing inflammation and bone destruction. Symptoms of osteomyelitis may include bone pain, swelling, and fever. Prompt treatment is necessary to prevent further damage to the affected bone. -
Soft Tissue Infections
In some cases, a dental abscess can lead to soft tissue infections in the surrounding areas. This can cause pain, swelling, and discomfort. Prompt treatment is necessary to prevent the infection from spreading further. -
Tooth Loss
If a dental abscess is not treated promptly, it can lead to tooth loss. The infection can cause extensive damage to the tooth and the surrounding structures, making it necessary to extract the affected tooth. -
Sinus Involvement
A dental abscess in the upper jaw can extend into the sinus cavity, leading to a sinus infection. Symptoms may include facial pain, pressure, and nasal congestion. Proper treatment is necessary to resolve the sinus infection and prevent further complications. -
Chest Infections
In rare cases, a dental abscess can lead to chest infections such as pneumonia. This occurs when the infection spreads from the tooth or surrounding tissues to the respiratory system. Symptoms of a chest infection may include cough, chest pain, and difficulty breathing. Immediate medical attention is needed to treat the infection. -
Rare Complications
In rare instances, a dental abscess can lead to serious and potentially life-threatening complications such as:8.1 Mediastinitis
Mediastinitis is a severe infection that occurs in the area between the lungs, known as the mediastinum. It can be caused by the spread of infection from a dental abscess to the chest. Symptoms of mediastinitis include chest pain, difficulty swallowing, and fever. Immediate medical intervention is necessary to treat this rare complication.8.2 Meningitis
Meningitis is a rare but serious complication of a dental abscess. It occurs when the infection spreads to the membranes surrounding the brain and spinal cord. Symptoms of meningitis include severe headache, neck stiffness, and fever. Meningitis requires immediate medical attention.8.3 Lemierre’s Syndrome
Lemierre’s syndrome is a rare and potentially life-threatening condition that occurs when an infection spreads from a dental abscess to the jugular vein. It can lead to blood clot formation and the development of multiple abscesses in different parts of the body. Prompt medical intervention is crucial to treat Lemierre’s syndrome.
Management of Dental Abscess Complications
The management of dental abscess complications generally involves a combination of medical and dental interventions. The specific treatment will depend on the type and severity of the complication. Immediate medical attention is necessary for severe complications such as Ludwig’s angina, cavernous sinus thrombosis, mediastinitis, meningitis, Lemierre’s syndrome, and sepsis. Dental treatments may include root canal therapy, tooth extraction, drainage of abscesses, and antibiotic therapy.

Prevention of Dental Abscess Complications
Preventing dental abscess complications begins with maintaining good oral hygiene. This includes regular brushing and flossing, as well as visiting your dentist for routine check-ups and cleanings. Prompt treatment of dental issues such as cavities and gum disease can help prevent the development of dental abscesses. It is also important to follow any prescribed treatments or medications to prevent the recurrence of dental abscesses.
Conclusion
Dental abscesses can lead to various complications if not treated promptly. It is important to recognize the signs and symptoms of these complications and seek immediate medical and dental attention. By maintaining good oral hygiene and seeking regular dental care, you can reduce the risk of developing dental abscesses and their associated complications. Remember, prevention is key when it comes to preserving your oral health and overall well-being.
