Dental abscesses can be a painful and bothersome condition that nobody wants to deal with. However, there are several preventive measures you can take to avoid these uncomfortable experiences. From maintaining good oral hygiene to regular dental check-ups, this article will provide you with valuable insights on how to keep those dental abscesses at bay. So, grab your toothbrush and get ready to learn some essential tips for a healthy and happy smile!

Understanding Dental Abscesses
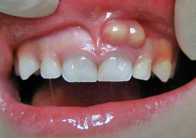
A dental abscess is a painful infection that occurs in or around a tooth. It is usually caused by bacteria that enter the tooth through a cavity, crack, or chip. The infection can spread and form a pocket of pus called an abscess. If left untreated, a dental abscess can lead to serious complications and have a negative impact on your oral health. It is important to recognize the symptoms and seek prompt treatment to prevent further problems.
Types of Dental Abscesses
There are two main types of dental abscesses: periapical abscess and periodontal abscess. A periapical abscess occurs at the tip of the tooth’s root, usually as a result of untreated tooth decay or trauma. A periodontal abscess, on the other hand, affects the gums and the supporting structures of the tooth. This type of abscess often occurs in individuals with gum disease or those who have had previous dental procedures.
Causes of Dental Abscesses
Dental abscesses are typically caused by poor oral hygiene and dental decay. When you fail to brush and floss regularly, plaque can build up on your teeth, leading to tooth decay. Untreated tooth decay can eventually reach the pulp of the tooth, which contains blood vessels and nerves. Once the bacteria reach the pulp, an infection can occur, resulting in a dental abscess.
Recognizing the Symptoms
Pain and swelling are the most common symptoms of a dental abscess. The pain may be sharp and intense, making it difficult to eat or drink. You may also experience swelling in the affected area, which can make your face feel warm and tender to the touch. In some cases, the abscess may cause the affected tooth to become discolored or sensitive to hot and cold temperatures. Additionally, you may experience a fever and a general feeling of malaise.

Importance of Early Detection
Early detection of a dental abscess is crucial to prevent further complications. If left untreated, the infection can spread to other parts of the body, leading to serious health issues. In some cases, the infection can even enter the bloodstream and cause a condition called sepsis, which can be life-threatening. Additionally, untreated dental abscesses can lead to the loss of the affected tooth and have a negative impact on your overall oral health.
The Risks of Untreated Dental Abscesses
Failure to seek prompt treatment for a dental abscess can result in several risks. The infection can spread to the surrounding tissues and bones, leading to cellulitis or osteomyelitis. Cellulitis is a serious skin infection that can cause redness, swelling, and pain, while osteomyelitis is a bone infection that can weaken the jawbone and lead to the loss of teeth. Additionally, the infection can cause a dental cyst, which can cause further damage to the jawbone and surrounding structures.
Potential Complications
If a dental abscess is not treated in a timely manner, it can lead to several complications. The infection can spread to other teeth, causing multiple abscesses and increasing the risk of tooth loss. It can also cause sinusitis, a painful inflammation of the sinuses. In rare cases, the infection can spread to the brain, resulting in a potentially life-threatening condition called brain abscess. Prompt treatment is essential to prevent these complications from occurring.
Impact on Oral Health
Untreated dental abscesses can have a significant impact on your oral health. The infection can cause gum disease and result in the loss of teeth. It can also lead to the deterioration of the jawbone, making it more difficult to receive dental implants or other restorative treatments. In severe cases, the infection can affect the nerves, leading to numbness or tingling in the face and mouth. Maintaining good oral hygiene and seeking timely treatment is essential to preserve your oral health.

Maintaining Good Oral Hygiene
To prevent dental abscesses and maintain good oral health, it is important to practice proper brushing and flossing techniques. Brush your teeth at least twice a day using a soft-bristled toothbrush and fluoride toothpaste. Be sure to brush all surfaces of your teeth and along the gumline. Additionally, floss daily to remove plaque and food particles from between your teeth. Using an antibacterial mouthwash can also help kill bacteria and reduce the risk of infection.
Frequency of Dental Visits
Regular dental visits are crucial for preventing dental abscesses. It is recommended to visit your dentist every six months for a thorough examination and professional cleaning. During these visits, your dentist can identify any early signs of tooth decay or gum disease and provide appropriate treatment. They can also offer guidance on proper oral hygiene practices and address any concerns you may have. Regular check-ups can help detect and treat dental issues before they become serious problems.
Using Antibacterial Mouthwash
In addition to brushing and flossing, using an antibacterial mouthwash can help kill bacteria and prevent dental abscesses. Look for a mouthwash that contains chlorhexidine, as it has been shown to effectively reduce plaque and gingivitis. Rinse your mouth with the mouthwash for the recommended duration, usually around 30 seconds, after brushing and flossing. However, it is important to use mouthwash as a supplement to regular brushing and flossing, not as a replacement.
Limiting Sugary Foods and Drinks
Reducing your consumption of sugary foods and drinks can help prevent dental abscesses. Bacteria in your mouth feed on sugar and produce acids that can weaken tooth enamel, leading to tooth decay and abscesses. Limit your intake of sugary snacks, candies, and beverages, especially between meals. Instead, opt for healthier alternatives like fruits, vegetables, and dairy products. Drinking water throughout the day can also help flush away bacteria and reduce the risk of infection.

Quitting Smoking
Smoking can significantly increase the risk of dental abscesses and other oral health problems. The chemicals in tobacco smoke can weaken the immune system and impair the body’s ability to fight off infections. Smoking also reduces blood flow to the gums, making it harder for the tissues to heal and repair themselves. Quitting smoking can improve your oral health and reduce the risk of developing a dental abscess. Talk to your healthcare provider for support and resources to help you quit.
Addressing Dental Trauma
Dental trauma, such as a chipped or cracked tooth, can provide an entry point for bacteria and lead to dental abscesses. If you experience any dental injuries or trauma, it is important to seek immediate dental care. Your dentist can assess the damage and take the appropriate steps to prevent infection and restore the affected tooth. Prompt treatment of dental trauma can help prevent the development of abscesses and other complications.
Prompt Treatment Options
If you are diagnosed with a dental abscess, there are several treatment options available. Depending on the severity of the infection, your dentist may recommend root canal therapy or tooth extraction. Root canal therapy involves removing the infected pulp and cleaning the root canals before sealing them to prevent further infection. Tooth extraction may be necessary if the abscess has caused extensive damage or if the tooth cannot be saved. In some cases, your dentist may prescribe antibiotics to help combat the infection.
Preventing Dental Abscesses in Children
Preventing dental abscesses in children begins with teaching them proper oral hygiene habits. Encourage them to brush their teeth at least twice a day with a fluoride toothpaste and to floss daily. Help young children with brushing and supervise their oral hygiene routine to ensure they are effectively removing plaque. It is also important to schedule regular dental check-ups for children to detect and treat any dental issues early on. Additionally, provide a balanced diet rich in fruits, vegetables, and low-sugar snacks to support their oral health.

Regular Dental Check-ups
Regular dental check-ups are essential for preventing dental abscesses in individuals of all ages. During these visits, your dentist can perform a thorough examination of your teeth and gums to identify any signs of infection or decay. They can also provide professional cleanings to remove plaque and tartar buildup, which can contribute to the development of dental abscesses. By attending regular check-ups, you can stay proactive about your oral health and address any concerns before they escalate.
Dietary Recommendations
Maintaining a healthy diet is important for preventing dental abscesses. Limit your intake of sugary foods and drinks, as they can contribute to tooth decay and the formation of abscesses. Instead, focus on consuming a well-balanced diet that includes plenty of fruits, vegetables, whole grains, and lean proteins. These nutrient-rich foods provide essential vitamins and minerals for strong teeth and gums. Drinking plenty of water throughout the day can also help rinse away bacteria and maintain oral health.
Special Considerations for Pregnant Women
Pregnancy can have an impact on dental health, making pregnant women more prone to dental abscesses. Hormonal changes during pregnancy can affect the gums, leading to increased sensitivity and inflammation. It is crucial for pregnant women to maintain regular dental care throughout their pregnancy. Routine dental check-ups and cleanings are safe during pregnancy and can help prevent and detect dental issues. It is important to inform your dentist about your pregnancy so they can take any necessary precautions.
Hormonal Changes and Dental Health
The hormonal changes during pregnancy can affect the body’s response to dental plaque, making pregnant women more susceptible to gum disease and dental abscesses. This is often referred to as pregnancy gingivitis. Increased blood flow to the gums can cause them to become swollen, tender, and more likely to bleed. Practicing good oral hygiene habits and seeking regular dental care can help manage these hormonal changes and reduce the risk of developing abscesses or other oral health issues.
Safety of Dental Treatment
Routine dental care, including check-ups, cleanings, and necessary treatments, is generally safe during pregnancy. However, it is important to inform your dentist about your pregnancy and any changes in your health status. This will allow them to take appropriate precautions and avoid any procedures or medications that may potentially harm you or your baby. Your dentist may recommend scheduling dental treatment during the second trimester, when the risk of complications is lower.
Impact of Diabetes on Dental Abscesses
Diabetes can significantly increase the risk of developing dental abscesses and other oral health problems. Individuals with diabetes have a weakened immune system, making it more difficult for their bodies to fight off infections. High blood sugar levels can also create an environment that promotes the growth of bacteria and the development of abscesses. Proper management of diabetes, including blood sugar control and regular dental care, is essential to prevent and manage dental abscesses in individuals with diabetes.
Diabetes and Increased Risk of Abscesses
Studies have shown that individuals with diabetes are more susceptible to developing dental abscesses compared to those without diabetes. The elevated blood sugar levels associated with diabetes can impair the body’s ability to heal and fight off infections. Diabetes can also lead to dry mouth, which can contribute to bacterial growth and increase the risk of developing abscesses. It is important for individuals with diabetes to closely monitor their oral health and seek prompt dental care if any issues arise.
Link between Oral Health and Diabetes Control
There is a bidirectional relationship between oral health and diabetes control. Poorly controlled diabetes can lead to oral health problems, including dental abscesses. On the other hand, gum disease and oral infections can make it more difficult for individuals with diabetes to control their blood sugar levels. It is important for individuals with diabetes to prioritize their oral health by practicing good oral hygiene, seeking regular dental care, and managing their blood sugar levels effectively.
Preventive Measures for Diabetics
Individuals with diabetes can take several preventive measures to reduce their risk of developing dental abscesses. It is important to maintain good oral hygiene by brushing and flossing regularly. Monitoring blood sugar levels and keeping them within the target range can also help reduce the risk of oral health complications. Additionally, scheduling regular dental check-ups and cleanings is essential for early detection and treatment of any oral health issues. Working closely with your healthcare team and dentist can help you develop a comprehensive plan to manage your diabetes and oral health.
Empowering Patients with Knowledge
Raising awareness about dental abscesses is essential for empowering patients to take control of their oral health. By understanding the causes, symptoms, and preventive measures, individuals can make informed decisions and seek timely treatment when necessary. Promoting dental education and hygiene practices can help prevent dental abscesses and improve overall oral health in the community. Encouraging regular dental check-ups and providing access to affordable dental care can further empower individuals to prioritize their oral health.
Promoting Dental Education and Hygiene Practices
Educating individuals about the importance of dental hygiene and prevention is key in preventing dental abscesses. Public health campaigns, educational materials, and community outreach programs can help spread awareness and provide information on proper brushing and flossing techniques, as well as the importance of regular dental check-ups. By promoting dental education, we can empower individuals to adopt healthy oral hygiene habits and reduce the prevalence of dental abscesses.
Encouraging Regular Dental Check-ups
Regular dental check-ups play a vital role in preventing dental abscesses. Routine dental examinations can detect early signs of tooth decay, gum disease, or abscesses before they progress. Dentists can provide professional cleanings to remove plaque and tartar, reducing the risk of infection and abscess formation. Encouraging individuals to schedule regular dental visits, even in the absence of symptoms, can help maintain good oral health and ensure prompt treatment if any issues arise. Remember, prevention is always better than cure.
In conclusion, understanding dental abscesses is crucial for maintaining good oral health. By recognizing the symptoms and seeking prompt treatment, you can prevent serious complications and preserve your teeth and gums. Practicing good oral hygiene, avoiding risk factors, and scheduling regular dental check-ups are essential steps in preventing dental abscesses. By empowering patients with knowledge and promoting dental education, we can foster a healthier community and improve overall oral health. Remember, your oral health is in your hands – take care of it!