Subdural hematoma can be a serious medical condition that requires immediate attention and treatment. However, taking preventive measures can significantly reduce the risk of developing this condition. In this article, you will discover simple yet effective ways to prevent subdural hematoma and safeguard your well-being. By implementing these strategies in your daily life, you can take proactive steps to protect yourself and your loved ones from this potentially dangerous condition.
Understanding Subdural Hematoma
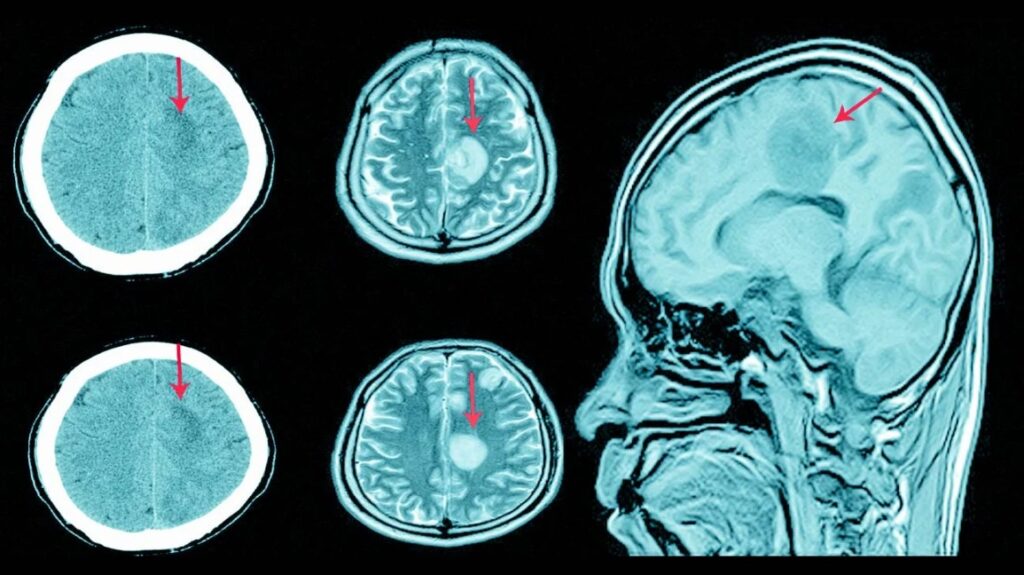
Subdural hematoma is a serious condition that occurs when blood accumulates between the layers of tissue surrounding the brain. This can be caused by severe head trauma or injury, such as a fall or car accident. It is essential to understand the causes, symptoms, and diagnosis of subdural hematoma to ensure early detection and appropriate treatment.
Definition and causes
A subdural hematoma refers to the accumulation of blood between the brain and its outermost protective layer, the dura mater. This collection of blood can exert pressure on the brain, leading to various neurological symptoms. The most common cause of subdural hematoma is head trauma, where a sudden impact or forceful injury causes blood vessels to rupture.
Symptoms and diagnosis
The symptoms of subdural hematoma can vary depending on the severity and location of the bleed. In some cases, individuals may experience a loss of consciousness, severe headache, confusion, seizures, and difficulty speaking or moving. It is crucial to seek immediate medical attention if any of these symptoms occur after a head injury.
To diagnose subdural hematoma, a physician will perform a thorough physical examination and may order imaging tests such as CT scan or MRI. These tests can help identify the presence of a hematoma and guide appropriate treatment options.
Preventing Subdural Hematoma
While it may not be possible to completely eliminate the risk of subdural hematoma, there are several preventive measures you can take to minimize the chances of experiencing a head injury. By maintaining a healthy lifestyle, exercising regularly, wearing protective headgear, avoiding substance abuse, and taking precautions during physical activities, you can significantly reduce the risk of subdural hematoma.
Maintain a healthy lifestyle
Proper nutrition and overall wellbeing play a vital role in preventing subdural hematoma. Make sure to consume a well-balanced diet rich in fruits, vegetables, lean proteins, and whole grains. Avoiding excessive alcohol consumption and quitting smoking are also crucial preventive measures.
Exercise regularly
Regular exercise not only improves overall health but also helps enhance coordination, balance, and muscle strength. Engage in activities such as walking, jogging, swimming, or cycling to keep your body fit and reduce the risk of falls and head injuries.
Wear protective headgear
When engaging in activities that have a higher risk of head injuries, such as biking, skateboarding, or participating in contact sports, it is essential to wear appropriate protective headgear. A well-fitted helmet can provide a significant level of protection and reduce the impact to the head in case of an accident or fall.
Avoid substance abuse
Substance abuse, including excessive alcohol consumption and illicit drug use, can impair judgment, coordination, and balance, increasing the likelihood of falls and head injuries. It is important to seek help if you or someone you know struggles with substance abuse to reduce the risk of subdural hematoma.
Take precautions during physical activities
Whether you are engaging in recreational activities or performing household chores, it is crucial to take necessary precautions to prevent head injuries. Always use proper safety equipment such as helmets, goggles, and gloves when needed. Take conscious steps to minimize the risk of falls and accidents, such as using ladders with caution, securing loose carpets or rugs, and maintaining a clutter-free environment.

Preventing Falls
Falls are one of the leading causes of subdural hematoma, particularly among older adults. Taking proactive steps to create a safe living environment and promote optimal health can significantly reduce the risk of falls and subsequent head injuries.
Making homes safe for older adults
For older adults, making modifications to the home environment can greatly reduce the risk of falls. Install sturdy handrails along staircases, add grab bars in bathrooms, and ensure that hallways and living spaces are well-lit. By creating a safe and accessible living environment, you can minimize the risk of falls and head injuries.
Removing tripping hazards
A cluttered living space can pose a significant risk of falls. Keep floors clear of obstacles such as loose wires, cords, and objects that can be tripped over. Secure area rugs with non-slip mats and remove any uneven or damaged flooring that may increase the risk of falls.
Improving lighting conditions
Inadequate lighting can impede visibility and increase the risk of falls, especially during nighttime or in poorly lit areas of the house. Install additional lighting fixtures or use motion-sensor lights to ensure proper illumination in all areas of your home. Consider installing nightlights in hallways or bathrooms to prevent falls during nighttime trips.
Using assistive devices
For individuals with mobility challenges, the use of assistive devices such as canes, walkers, or wheelchairs can provide increased stability and reduce the risk of falls. Work with a healthcare professional or physical therapist to determine the most suitable assistive devices for your specific needs.
Installing handrails and grab bars
Installing handrails along staircases and grab bars in bathrooms can significantly reduce the risk of falls. These supportive structures provide stability and aid in maintaining balance while navigating potentially hazardous areas of the home.
Preventing Head Trauma
Head trauma can have serious consequences, including subdural hematoma. Taking preventive measures to minimize the risk of head injuries is crucial for individuals of all ages. By wearing seatbelts, using child safety seats, avoiding drunk driving, and practicing safe sports and recreational activities, you can significantly reduce the risk of head trauma and its associated complications.
Wearing seatbelts
When traveling in motor vehicles, always ensure you and all passengers are wearing seatbelts. Seatbelts save lives by preventing ejections and minimizing the risk of head injuries during sudden stops, collisions, or accidents.
Using child safety seats
For young children, using appropriate child safety seats is essential to protect them from head injuries. Make sure to follow the manufacturer’s guidelines and install the child safety seat correctly in the vehicle. As children grow, transition them to the appropriate car seat or booster seat to ensure optimal protection.
Avoiding drunk driving
Alcohol impairs judgment, coordination, and reaction times, significantly increasing the risk of accidents and head injuries. It is essential to avoid driving under the influence of alcohol and to plan alternative transportation options, such as designated drivers or rideshare services, when necessary.
Practicing safe sports and recreational activities
Engaging in sports and recreational activities can be enjoyable and beneficial for overall health. However, it is important to ensure safety measures are followed to prevent head injuries. Always wear appropriate protective gear such as helmets, pads, or mouthguards, depending on the activity. Follow the rules and regulations of the sport or activity and seek professional instruction or guidance when needed.

Preventing Blood Disorders
Certain blood disorders, such as clotting disorders or anemia, can increase the risk of subdural hematoma. Taking preventive measures to maintain a balanced diet, getting regular check-ups, and ensuring safe use of medications can help prevent these blood disorders and reduce the risk of subdural hematoma.
Maintaining a balanced diet
A well-balanced diet that includes a variety of fruits, vegetables, lean proteins, whole grains, and healthy fats can help prevent blood disorders. Incorporate foods rich in iron, vitamin K, and B vitamins into your diet as they play a vital role in blood health. Stay well-hydrated and limit the consumption of processed foods and sugary drinks, which can negatively impact blood health.
Getting regular check-ups
Regular check-ups with your healthcare provider can help identify and manage any underlying blood disorders. Routine blood tests can detect abnormalities in clotting factors, red blood cell counts, and other indicators of blood health. Follow your healthcare provider’s recommendations for check-ups and screenings to ensure early detection and appropriate management of any blood disorders.
Safe use of medications
Certain medications, such as blood thinners or antiplatelet drugs, can increase the risk of bleeding and subsequent subdural hematoma. It is crucial to follow prescribed medication regimens carefully and communicate any concerns or potential side effects to your healthcare provider. They can provide guidance on the safe use of medications and monitor for any adverse effects on blood health.
Preventing Accidental Injury in Children
Children are particularly vulnerable to accidental injuries, including head injuries. It is essential to take proactive steps to prevent such injuries by supervising young children, childproofing the house, teaching safety rules, and using safety equipment.
Supervising young children
Constant supervision is crucial for young children, especially in environments with potential hazards. Supervise young children while they are playing, swimming, or engaging in activities that may pose a risk of head injuries. Keep a watchful eye and intervene or redirect when necessary to ensure their safety.
Childproofing the house
Childproofing the house is an essential step in preventing accidental injuries in children. Install safety gates at staircases, secure furniture and appliances to prevent tipping, and cover electrical outlets with safety plugs. Keep small objects, choking hazards, and dangerous substances out of reach. By creating a safe environment, you can significantly reduce the risk of head injuries and other accidents.
Teaching safety rules
Educating children about safety rules is crucial in preventing accidental injuries. Teach them to avoid running on slippery surfaces, to use handrails when going up or down stairs, and to wear appropriate protective gear when engaging in sports or recreational activities. Reinforce the importance of safety and lead by example to instill responsible behavior.
Using safety equipment
Using appropriate safety equipment is essential to protect children from head injuries during various activities. Ensure they wear helmets when biking, skateboarding, or participating in sports that pose a risk of head injuries. Use safety gates, corner guards, and drawer locks to prevent falls and head injuries at home. By utilizing safety equipment correctly, you create a protective barrier that reduces the risk of head injuries.

Preventing Occupational Hazards
Occupational hazards in the workplace can lead to head injuries and subdural hematoma. By following workplace safety guidelines, using personal protective equipment, practicing ergonomic practices, and taking breaks to manage stress, individuals can safeguard their well-being and prevent work-related head injuries.
Following workplace safety guidelines
Every workplace should have guidelines and protocols in place to ensure the safety and well-being of employees. It is crucial to follow these guidelines diligently. Attend safety trainings and familiarize yourself with hazard-specific safety procedures. By understanding and adhering to workplace safety guidelines, you can minimize the risk of head injuries and other accidents.
Using personal protective equipment
Personal protective equipment (PPE) is designed to protect workers from workplace hazards. Depending on the nature of your job, wear appropriate PPE such as hard hats, safety goggles, earplugs, or respirators. Ensure that PPE is properly fitted, regularly inspected, and replaced when necessary. Using PPE correctly provides an important layer of protection against head injuries and other workplace hazards.
Ergonomic practices
Practicing ergonomic principles can help reduce the risk of work-related injuries, including head injuries. Maintain proper posture and body mechanics while working, adjust workstations to optimize comfort and reduce strain, and take regular breaks to stretch and rest. By incorporating ergonomic practices into your work routine, you can minimize the likelihood of head injuries caused by repetitive stress or poor ergonomics.
Taking breaks and managing stress
Proper rest and stress management are essential for overall well-being and reducing the risk of accidents in the workplace. Take regular breaks during long periods of work to prevent fatigue and maintain focus. Engage in stress-reducing activities such as exercise, meditation, or hobbies outside of work to promote mental and emotional well-being. By managing stress effectively, you can stay alert and reduce the risk of head injuries caused by distraction or reduced concentration.
Preventing Domestic Violence
Domestic violence is a distressing issue that can result in severe head injuries, among other physical and emotional harm. By promoting healthy relationships, seeking help for domestic violence, and identifying/addressing risk factors, individuals and communities can work towards preventing domestic violence and its associated consequences.
Promoting healthy relationships
Promoting healthy relationships is essential in preventing domestic violence. Encourage open and respectful communication, equality, and shared decision-making within relationships. Foster a supportive and nurturing environment where individuals feel safe and valued. By promoting healthy relationship dynamics, the likelihood of violent behaviors decreases significantly.
Seeking help for domestic violence
If you or someone you know is experiencing domestic violence, it is crucial to seek help from professionals, support services, or helplines specializing in handling such situations. Reach out to local organizations or law enforcement agencies that can provide assistance, resources, and support. Remember that no one deserves to be a victim of domestic violence, and help is available.
Identifying and addressing risk factors
Identifying and addressing risk factors associated with domestic violence is key to prevention. Educate yourself and others about the warning signs of potential abusive behavior or controlling tendencies. Support and promote initiatives aimed at early intervention, such as school programs that teach healthy relationship skills and conflict resolution. By addressing risk factors early on, the cycle of domestic violence can be disrupted, preventing potential head injuries and other harm.

Preventing Elder Abuse
Elder abuse is a concerning issue that can result in physical and psychological harm, including head injuries, among older adults. By creating awareness about elder abuse, recognizing signs, reporting abuse, and supporting older adults, we can work towards preventing this mistreatment and ensuring the well-being of our elderly population.
Creating awareness about elder abuse
Creating awareness about elder abuse is essential in preventing its occurrence. Educate yourself and others about the various forms of elder abuse, including physical, emotional, sexual, and financial abuse. Engage in community outreach programs that promote awareness and provide education on recognizing and preventing elder abuse.
Recognizing signs and reporting abuse
Recognizing the signs of elder abuse is crucial to intervene and prevent further harm. Be vigilant and observant, and be aware of signs such as unexplained injuries, changes in behavior, withdrawal, or sudden financial difficulties. If you notice any signs of abuse, report the situation to the appropriate authorities or helplines that can take immediate action to protect the elderly individual.
Supporting older adults
Supporting older adults in your community is an important aspect of preventing elder abuse. Offer friendship and companionship to older adults who may be isolated or vulnerable. Encourage open communication and be a trusted source of support for those who need assistance. By providing a caring and supportive environment, we can reduce the risk of elder abuse and its associated head injuries.
Preventing Shaken Baby Syndrome
Shaken Baby Syndrome (SBS) is a severe form of child abuse that can cause devastating head injuries in infants. By educating parents and caregivers, providing support, and promoting safe sleep practices, we can prevent SBS and protect the well-being of infants.
Educating parents and caregivers
Educating parents and caregivers about the dangers of shaking infants and the potential consequences of SBS is crucial. Provide information on the risks associated with shaking, including brain damage, head injuries, and even death. Share resources, attend parenting classes, and engage in discussions that focus on safe infant care practices. By raising awareness, parents and caregivers can make informed decisions and prevent SBS.
Providing support for parents/caregivers
Providing support for parents and caregivers can help alleviate stress and reduce the risk of SBS. Offer resources, referrals, and assistance with childcare to help parents cope with the challenges of parenting. Establish a support network where parents can access information, guidance, and emotional support. By providing a nurturing environment, parents are less likely to reach a point of frustration where shaking their baby becomes a risk.
Promoting safe sleep practices
Safe sleep practices are critical in preventing SBS. Educate parents and caregivers about the importance of placing infants on their backs to sleep, in a crib or bassinet that meets safety standards. Avoid using soft bedding, pillows, or stuffed animals in the crib, as these can pose suffocation risks. Provide guidance on creating a safe sleep environment and emphasize the importance of following these practices consistently.
In conclusion, subdural hematoma is a serious condition that can result from head trauma or injury. By understanding the causes, symptoms, and diagnosis of subdural hematoma and taking preventive measures such as maintaining a healthy lifestyle, preventing falls, avoiding head trauma, addressing blood disorders, preventing accidental injuries in children, ensuring occupational safety, preventing domestic violence and elder abuse, and educating about shaken baby syndrome, we can significantly reduce the risk of subdural hematoma and promote the well-being of individuals across different age groups. Remember, prevention is key, and by implementing these preventive strategies, we can strive to create a safer and healthier environment for ourselves and those around us.